Einleitung

Erkrankungen der Atemwege gehören neben Herz-Kreislauf-Erkrankungen, wie der koronaren Herzkrankheit, und Stoffwechselerkrankungen, wie dem Diabetes mellitus Typ II, zu den häufigsten chronischen Erkrankungen in der westlichen Welt. Die zwei wesentlichen chronischen Atemwegserkrankungen sind Asthma bronchiale und die chronisch obstruktive Lungenerkrankung (COPD).

Asthma bronchiale ist eine chronisch-entzündliche Erkrankung der Atemwege, die mit einer reversiblen (umkehrbaren) bronchialen Obstruktion (Verengung der Bronchien) und einem hyperreagiblen (überempfindsamen) Bronchialsystem einhergeht. Das klinische Bild ist variabel und reicht von leichten Verläufen mit nur wiederkehrende (rezidivierendem) Husten oder Räusperzwang über anfallsartig auftretender Luftnot mit pfeifender Atmung mit Fiepen und Brummen über den Lungen bis hin zum akuten Asthmaanfall, einem lebensbedrohlichem Krankheitsbild. Die wichtigsten Ursachen zur Entstehung des Asthma bronchiale sind Allergien, daher auch die Bezeichnung für diese wichtigste Unterform als allergisches Asthma. Die Geschlechterverteilung ist bei Asthma bronchiale zwischen Männern und Frauen weitestgehend ausgeglichen; im Kindesalter betrifft die Erkrankung mehr Jungen, im Erwachsenenalter mehr Frauen. Die Weltgesundheitsorganisation WHO schätzt, dass circa 235 Millionen Menschen an Asthma bronchiale weltweit leiden.

Die chronisch obstruktive Lungenerkrankung (COPD) ist ebenfalls eine Atemwegserkrankung, die zur Verengung der Bronchien führt. Diese Erkrankung entsteht vornehmlich durch die Inhalation von Noxen (Giften), allem voran durch Zigarettenrauch, aber auch durch berufliche Exposition, wie Bergbau oder Asbest-Exposition sowie durch den Rauch von Brennstoffen. Diese Schadwirkung führt, wie beim Asthma bronchiale, zu einer chronischen Entzündung und dadurch zu einer allerdings nicht-reversiblen (nicht-umkehrbaren) Obstruktion der kleinen Atemwege, was wiederum zu einer Überblähung der Alveolen (Lungenbläschen) führt. Durch Überblähung von Lungenbereichen resultiert ein Verlust der zum Gasaustausch zur Verfügung stehenden Lungenaustauschfläche (Emphysem). Die Lunge kann daher nicht mehr ihrer eigentlichen Funktion nachkommen und es resultiert, deutlich dramatischer als beim Asthma, durch verringerte Sauerstoffaufnahme ein chronischer Sauerstoffmangel (Hypoxie). In mehr als 90 Prozent der Fälle ist diese Erkrankung eine Folge des Rauchens. Leitsymptome sind produktiver Husten und Luftnot. Die COPD betrifft mehr Männer als Frauen, aber der Unterschied zwischen Männern und Frauen gleicht sich zunehmend durch die Verbreitung des Zigarettenkonsums auch beim weiblichen Geschlecht an. Die chronisch obstruktive Lungenerkrankung COPD betrifft weltweit rund 210 Millionen Menschen und stellt die drittäufigste Todesursache weltweit dar. Die einzige Maßnahme, die den Krankheitsverlauf aufhalten kann, ist der konsequente Rauchverzicht.

Tauchtauglichkeit

Im Rahmen unserer tauchmedizinischen Assistance-Tätigkeit erreichen uns regelmäßig Anfragen hinsichtlich einer Tauchtauglichkeit bei Erkrankungen der Atmungsorgane. Diese betreffen beim Asthma eher jüngere und bei der COPD eher ältere Patientinnen und Patienten. Häufig werden diese Anfragen zur Tauchtauglichkeit nach Erstdiagnose einer dieser Atemwegserkrankungen (häufiger COPD) an uns adressiert. In diesem Artikel werden diese zwei häufigsten chronischen Atemwegserkrankungen im Kontext der Tauchtauglichkeit strukturiert besprochen und die interessierten Leserinnen und Leser erhalten nach Lektüre dieses Beitrags einen Überblick über die möglichen Risiken und Gefahren bei der Ausübung des Tauchsports sowie die Limitierung der Tauchtauglichkeit bei entsprechenden Krankheitsphasen dieser chronischen Lungenerkrankungen. Info-Box I. fasst die wesentlichen Fakten zum Tauchen und zur Tauchtauglichkeit mit diesen chronischen Atemwegserkrankungen zusammen.

I. Chronische Atemwegserkrankungen & Tauchen

  • Krankhafte Veränderungen von Lunge und Atemwegen können das Risiko für Tauchunfälle erhöhen.

  • Das betrifft insbesonders Erkrankungen, die mit einem sogenannten Air-Trapping einhergehen.  

  • Akute Erkrankungen der Lunge und Atemwege und/oder eingeschränkte Lungenfunktion verbieten grundsätzlich das Tauchen.

  • Bei bestimmten Konstellationen kann das Tauchen ärztlich vertretbar sein, sofern die Erkrankungen stabil und die Lungenfunktion nicht eingeschränkt sind.

Asthma bronchiale und Tauchsport

Asthma bronchiale ist wie bereits beschrieben eine chronische und mitunter in Anfällen auftretende Atemwegserkrankung, die von einer dauerhaften Entzündung der Atemwege geprägt ist, mit der permanenten Bereitschaft auf bestimmte Reize der Einatemluft und damit der Umgebung überempfindlich zu reagieren (bronchiale Hyperreagibilität). Dadurch kommt es zum Anschwellen der Atemwege und zäher Schleim verlegt die Atemwege, was letztlich zur beschrieben Atemwegsobstruktion und dadurch zu Luftnot führen kann.  

Viele Menschen weisen eine Hyperreagibilität der Atemwege auf, ohne dass ihnen diese bekannt oder bewusst ist. Beim Tauchen kann die Einatmung der extrem trockenen und kalten Atemluft aus dem Tauchgerät, insbesondere bei körperlicher Belastung, bei Menschen mit überempfindlichen Atemwegen zu Luftnot durch Verkrampfung der Atemwegsmuskulatur führen, sowie zu einer vermehrten Schleimproduktion, wodurch die Ein- und Ausatmung (Ventilation) beeinträchtigt wird. Weiterhin kann eine hohe Strömungsgeschwindigkeit, wie sie bei erhöhter Anstrengung unter Wasser oder bei tiefen Tauchgängen auftritt, in den kleinen Atemwegen eine Verengung verursachen.

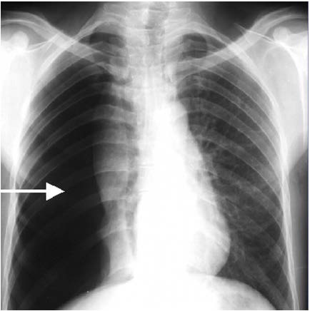
Ein wichtiger Warnhinweis (Frühsymptom), sei es über oder unter Wasser vor dem Auftreten von Luftnot, kann Reizhusten sein. Eine so beschriebene Atemwegsempfindlichkeit kann vorübergehend bestehen, wie zum Beispiel bei einer Bronchitis, oder sie besteht dauerhaft wie  beim bereits angesprochenen Asthma bronchiale. Die Schwierigkeit bei der Ausübung des Tauchsports besteht für Asthmapatienten darin, dass das Risiko für eine Lungenüberdehnung (Barotrauma der Lunge = pulmonales Barotrauma) aufgrund von Air Trapping erhöht ist. Beim Air Trapping handelt es sich um die Situation, dass Luft während der Ausatmung durch die Verengung der kleinen Atemwege (Bronchiolen) nicht in dem Maße im Rahmen des Auftauchens (Dekompressionsphase) abgeatmet werden kann, wie sie eingeatmet wurde, und es daher zum Luftverhalt in diesen  Lungenbereichen kommt. Daraus kann ein Lungenriss (mit folgendem Pneumothorax) in den entsprechenden Lungenbereichen resultieren (Abb. 1)

Abb. 1: Röntgenaufnahme des Brustkorbs. Frontalebene (a.p.-Aufnahme). Der weiße Pfeil markiert einen Lungen-leeren rechten Brustkorb (Patienten-rechts, links im Bild) in Folge eines Pneumothorax (Luft im Brustkorb). Hier zeigt sich kein Lungengewebe im Vergleich zur Gegenseite (Patienten-links, rechts im Bild). © Dr. Dr. Philipp Stahl

Air Trapping

Air-Trapping selbst wird durch sehr trockene und kalte Atemluft aus Pressluftflaschen provoziert, die wie erwähnt einen bronchialen Reiz darstellt und zur Obstruktion der Atemwege bis hin zum Asthmaanfall unter Wasser führen kann. Zudem führen hohe Strömungsgeschwindigkeiten in den kleinen Atemwegen ihrerseits zur Obstruktion; diese Mechanismen werden durch Anstrengung und Hyperventilation verstärkt. Trotz dieser prinzipiellen Gefahren sind Asthmatiker heutzutage nicht grundsätzlich vom Tauchsport ausgeschlossen, das heißt es besteht keine absolute Kontraindikation gegenüber der Erteilung einer Tauchtauglichkeit. Entsprechend wichtig ist bei bekanntem Asthma bronchiale die regelmäßige Vorstellung beim Lungenfacharzt bzw. bei erstmaligem Auftreten von unklarem Husten und Luftnot die weitere Diagnostik durch Haus- und Lungenfacharzt. Bei guter Asthmakontrolle mit den entsprechenden Medikamenten, wie Dosieraerosolen oder Pulverinhalatoren, und Beschwerdefreiheit ist eine Tauchtauglichkeit unter Berücksichtigung von Art und Schwere des Asthmas gegeben.

Daher besteht bei einem kontrolliertem Asthma, einem intermittierendem (phasenweise auftretendem) Asthma sowie bei einem teilweise kontrolliertem Asthma bei stabiler Lungenfunktion nur eine relative Kontraindikation. Anhand bestimmter Fragebögen zur Asthmakontrolle, zum Beispiel der Asthma Control Test (ACT), der Asthma-typische Symptome abfragt sowie anhand der Messung der persönlichen Tagesform abhängigen Atemwegsobstruktion mittels eines handlichen Peak-Flow-Meters, kann die aktuelle Beschwerdesymptomatik des Asthmas kontrolliert und auch direkt vor dem Tauchgang überprüft werden. Eine absolute Kontraindikation besteht hingegen bei einem nicht kontrollierten bzw. nicht ausreichend kontrollierten Asthma, einem Belastungs- und/oder kälteinduzierten Asthma sowie bei einer akuten Verschlechterung des Asthmas bis zum akuten Asthmaanfall. In allen aufgeführten Fällen sollte unabhängig von der Frage einer Tauchtauglichkeit der Hausarzt und der Lungenfacharzt konsultiert werden. Info-Box II. fasst die wesentlichen Punkte zur Tauchtauglichkeit und Asthma bronchiale zusammen.  

Zusammenfassend können folgende Regeln und Empfehlungen zur Tauchtauglichkeit bei Vorliegen eines Asthma bronchiale formuliert werden: Taucherinnen und Taucher mit einem kontrollierten Asthma können tauchen und sollten vor jedem Tauchgang eine Peak-Flow-Messung durchführen, um die Verengung der Atemwege einfach und verlässlich zu überprüfen. Die Messung sollte mehr als 80 Prozent des Bestwerts betragen. Taucherinnen und Taucher, die seit Jahren beschwerdefrei sind, zum Beispiel nach kindlichem Asthma, können tauchen. Taucherinnen und Taucher mit intermittierendem Asthma, das heißt mit unregelmäßig auftretenden und verhältnismäßig seltenen Beschwerden, können tauchen, wenn die Lungenfunktionsüberprüfung (Spirometrie beim Haus- und Lungenfacharzt) normal ist. Taucherinnen und Tauchern, deren Asthma nur teilweise kontrolliert ist, ist prinzipiell vom Tauchen abzuraten. Ein unkontrolliertes Asthma bzw. ein kürzlich zurückliegender Asthmaanfall stellen ebenso absolute Kontraindikationen gegenüber Tauchen dar.

II. Asthma bronchiale & Tauchsport

  • Asthmatiker sind heutzutage nicht grundsätzlich vom Tauchsport ausgeschlossen, das heißt, es besteht keine absolute Kontraindikation.

  • Tauchtauglichkeit ist unter Berücksichtigung von Art und Schwere des Asthmas differenziert zu bewerten.

  • Die Asthmakontrolle spielt hier die entscheidende Rolle!

COPD und Tauchsport

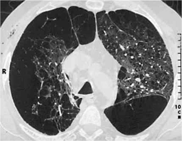
Die chronisch obstruktive Lungenerkrankung (COPD) ist wie oben bereits ausgeführt eine häufige, aber verhinderbare und fortschreitende chronische Atemwegserkrankung, die durch eine chronische Entzündung charakterisiert ist. Diese wird zu 90 Prozent durch Rauchen verursacht und infolgedessen kommt es zur nicht-reversiblen Atemwegsobstruktion mit den Symptomen Husten, Luftnot und Hypoxie. Bei dieser Erkrankung kommt es vor allem beim fortgesetzten Zigarettenrauchen zum Fortschreiten irreparabler Einschränkungen der Lungenstruktur und der Lungenfunktion. Durch diese irreparable Zerstörung der Alveolen kommt es zur Ausbildung eines Lungenemphysems mit Überblähung (unter normobaren Bedingungen, das heißt über Wasser) und dadurch zur Abnahme der Elastizität der Lunge (Abb. 2).

Abb. 2: Computertomographie-Aufnahme des Brustkorbs (CT-Thorax), Transversalebene (axialer Schnitt).
Ausgedehntes Lungenemphysem mit multiplen Emphysembullae (große Blase rechts unten sowie mehrere Blasen links oben und links unten im Bild). Diese Emphysemblasen stellen eine lebensbedrohliche Kontraindikation zur Ausübung des Tauchsports, aber auch für das Schnorcheltauchen dar, da stets die Gefahr der Ruptur und somit die Entstehung eines Pneumothorax (Lungenriss) sowohl in der Kompressions-, als auch in der Dekompressionsphase besteht. © Dr. Dr. Philipp Stahl

Eine Zusammenfassung zur COPD und Tauchsport gibt Info-Box III. Neben häufig bestehenden Komorbiditäten (Begleiterkrankungen) bei Patientinnen und Patienten mit COPD, wie Herz-Kreislauf- und Gefäßerkrankungen sowie Diabetes mellitus, welche die körperliche Leistungsfähigkeit und damit die Fähigkeit zur Erlangung einer Tauchtauglichkeit einschränken, bestehen erhebliche Gefahren beim Tauchen bei fortgeschrittenen Stadien dieser Lungenerkrankung. Hier ist vor allem die erhöhte Gefahr  eines Pneumothorax (Lungenriss) zu nennen, der durch die überblähten Lungenbereiche (Lungenemphysem) in der Dekompressionsphase entstehen kann (Abb. 1). Prinzipiell ist der Pneumothorax auch bei nicht vorbestehendem Lungenemphysem bei der COPD analog zum Asthma bronchiale durch Air trapping und der dafür bereits aufgeführten Risikofaktoren möglich.

III. COPD und Tauchsport

  • Kennzeichen der COPD sind andauernde Entzündung mit stark vermehrter Sekretbildung und dauerhaftem Muskelspasmus.

  • Akute Verschlechterung der COPD und Begleiterkrankungen tragen zum Schweregrad der Erkrankung bei.

  • Fortschreiten irreparabler Einschränkungen der Lungenfunktion

  • Lungenemphysem mit Hyperinflation (Überblähung) und irreparabler Zerstörung der Alveolen und Abnahme der Elastizität der Lunge.

Die Folge eines Lungenbarotraumas kann eine  arterielle Gasembolie sein, bei der Atemgas in kleine Endarterien (Arteriolen) entweicht und am engsten Punkt verstopft, sodass nachfolgende Versorgungsbereiche von der Blut- und demnach auch Sauerstoffzufuhr abgeschnitten sind. Es kommt zur Schädigung von nachfolgenden Zellen und deren Untergang sowie zu Entzündungsprozessen, die schwere gesundheitliche und prinzipiell lebensbedrohliche Auswirkungen haben können (siehe Info-Box IV.).

Aufgrund des hier Ausgeführten schließt das Vorhandensein eines Lungenemphysems bei COPD-Patientinnen und -Patienten eine Tauchtauglichkeit aus. Weiterhin besteht bei jeglichem Grad der Einschränkung der Lungenfunktion, das heißt bei bestehender Atemwegsobstruktion aufgrund der beschriebenen fehlenden Reversibilität der Atemwegsverengung, eine absolute Kontraindikation gegenüber der Ausübung des Tauchsports. Zusammenfassend lässt sich zur Tauchtauglichkeit bei COPD festhalten, dass nur das Krankheitsbild einer chronischen Bronchitis, die mit Husten und Schleimproduktion einhergeht, allerdings ohne Einschränkung der Lungenfunktion mit dem Tauchen vereinbar ist. Die chronische Bronchitis kann gewissermaßen als Vorstufe der COPD gesehen werden. Der konsequente Rauchverzicht kann ein Fortschreiten der Erkrankung zur COPD gegebenenfalls verhindern.

IV. Arterielle Gasembolie als Folge des Air Trapping mit Lungenbarotrauma

  • Durch einen (Partial-) Lungenriss können Gasblasen (Atemgas, nicht Stickstoff) in den arteriellen Kreislauf insbesondere in kleine Arteriolen mit darauffolgenden gasembolischen Verschlüssen in den Endarterien des Gehirns, des Rückenmarks oder der Koronargefäße gelangen. Dieses Krankheitsbild wird arterielle Gasembolie genannt (AGE).

  • Die AGE ist eine gefürchtete Komplikation eines pulmonalen Barotraumas, da sie mit einer hohen Mortalität (Sterblichkeit) assoziiert ist.

  • Die AGE lässt sich im Rahmen der Tauchunfallklassifikation als DCI (decompression illness = Dekompressionsunfall) einordnen.

Fazit

Zusammenfassend ist festzuhalten, dass Asthma bronchiale nicht prinzipiell eine Kontraindikation gegenüber dem Tauchen darstellt. Bestimmte oben ausgeführte Stadien dieser chronischen, aber mit reversibler Obstruktion einhergehenden Atemwegserkrankung, können mit dem Tauchen vereinbar sein, sofern die Symptomkontrolle gegeben und die Lungenfunktion unauffällig ist sowie die körperliche Belastungsfähigkeit erhalten bleibt. Die COPD ist in allen Stadien, insbesondere bei Vorhandensein eines Lungenemphysem, mit dem Tauchsport nicht zu vereinbaren. Lediglich für die chronische Bronchitis, die durch Husten und Auswurf gekennzeichnet ist, aber noch nicht durch eine Obstruktion mit Einschränkung der Lungenfunktion sowie dem Fehlen eines Lungenemphysems, besteht eine relative Kontraindikation gegenüber der Ausübung des Tauchsports. Taucherinnen und Taucher mit den beschriebenen Lungenerkrankungen sollten vor dem Hintergrund des in diesem Artikel Ausgeführten neben einer taucherärztlichen Vorstellung zum Ersterwerb oder Wiedererwerb einer Tauchtauglichkeit auch eine Vorstellung beim Facharzt für Pulmologie (Lungenfacharzt) anstreben. Eine Entscheidung zur Tauchtauglichkeit sollte schließlich im gemeinsamen Konsens durch den Tauchmediziner und Lungenfacharzt unter Berücksichtigung aller Befunde getroffen werden.